不久前,来自浙江海盐的28岁女孩淼因早上醒来头晕目眩而前往医院就诊,一开始医生还以为淼压力太大,没想到血化验结果出来之后,把医生吓了一跳……28岁的女孩血糖“爆表”,静脉血糖竟高达56mmol/L,而一般正常范围是3.9-6.1mmol/L。她的糖化血红蛋白达到了13.3%,这表示患者至少近3个月血糖处于很高的水平,而她竟浑然不知。
当淼抵达当地医院时已经意识不清,整个人处于昏迷状态。经检查发现,淼这是典型的糖尿病酮症酸中毒的现象,如不及时抢救,就有生命危险。淼的父母当机立断,去上海瑞金医院!
一家人抵达瑞金医院后,经相关检查发现,淼此时体温高达39℃,心率180次/分,血β-羟丁酸0.9mmol/L,葡萄糖14.55mmol/L,钠149mmol/L,降钙素原18.24ng/ml,DD7.62mg/L,尿酮体阴性,整个人处于休克状态。经多学科会诊后,综合认为淼为糖尿病非酮症高渗性昏迷状态,同时合并脓毒性休克及多脏器功能衰竭。
“糖尿病是由于胰岛素分泌及(或)作用缺陷引起的以血糖升高为特征的代谢病,典型症状是‘三多一少’——多饮、多食、多尿、体重减轻,淼患的是Ⅱ型糖尿病而不自知,渴的时候总想喝点甜的来缓解,如此循环往复,加重了她的病情,而同时并发的肠道感染使得原本的糖尿病急症雪上加霜。”急诊科主任毛恩强介绍道。

毛恩强主任在查房
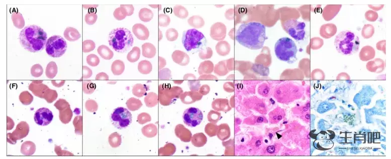
刚刚入院2天,不幸的消息就传来,完善相关辅助检查及化验后显示,淼的外周血涂片有“绿色小体”——这是一种在危重病人的中性粒细胞中非常罕见的绿色包涵体。“绿色小体”出现后患者的病死率在58%~68%,多数情况下会在72小时内死亡。可以说,发现了“绿色小体”就相当于宣布病人预后不良的结果,抢救难度很大!

毛恩强、盛慧球等专家所在的EICU医护团队给予患者补液降糖、血管活性药物支持,抗感染、普通肝素抗凝后,决定进一步运用床边血液净化——免疫吸附、单膜血浆置换、短时间断血液滤过三种净化模式联合,去除脓毒症所产生的炎症因子。通过了EICU的积极治疗,淼终于度过了炎症风暴,生命体征逐渐平稳。住院2周后,她逐渐恢复正常。
临出院时,急诊科毛恩强主任来到病房与淼握手,感叹她“九死一生,死里逃生”,淼及家人相拥而泣。
为什么28岁的女孩会得糖尿病?在追问病史的时候,医生了解到,淼每天至少喝1-2杯果茶或含糖碳酸饮料,也酷爱甜食,再加上平时工作忙,很少运动。大量糖分和添加剂的摄入,导致了她的糖尿病。
“不敢喝了,从医院出来以后这辈子都有阴影了……”淼说道。目前,她恢复良好,回归了工作岗位。
网友:吓得赶紧把奶茶券退了


瑞金医院急诊科副主任盛慧球提醒,前来急诊就诊的年轻糖尿病急症患者往往并不知晓自身患有糖尿病的情况,并普遍都有熬夜、喜高糖油腻饮食、饮酒、好静不好动等不良生活习惯,再叠加一些感染的诱发因素,就有可能发展为脓毒症甚至脓毒症休克。
新民晚报(记者:左妍 通讯员 张子晴),综合网友评论
原创文章,作者:random,如若转载,请注明出处:https://mip.shengxiaoba.com/news/39240.html